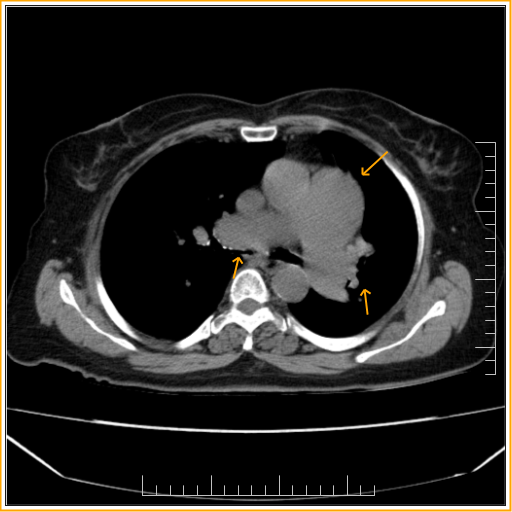
Long standing left to right shunt-CT
- Cardiomegaly
- Dilatation of the main pulmonary artery along with dilatation of bilateral central pulmonary arteries. These findings are suggestive of possible PAH possibly secondary to long standing left to right shunt. Requires echocardiographic evaluation.
- Atherosclerotic calcification involving the aortic arch and vessels.
Long standing left to right shunt-CT
Reviewed by Sumer Sethi
on
Tuesday, May 20, 2014
Rating:
Reviewed by Sumer Sethi
on
Tuesday, May 20, 2014
Rating:




No comments:
Post a Comment