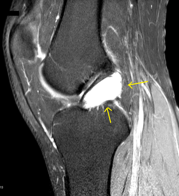
Ganglion Cyst of ACL-MRI
Young male with pain knee joint with lachmann test negative shows a well defined, regular, lobulated, complex fluid signal intensity, space occupying lesion replacing the body and femoral attachment of the ACL with presence of internal septae, with rest of the study unremarkable – Ganglion cyst of the cruciate ligament is likely. Case submitted by Dr MGK Murthy.
Ganglion Cyst of ACL-MRI
Reviewed by Sumer Sethi
on
Wednesday, June 08, 2011
Rating:
Reviewed by Sumer Sethi
on
Wednesday, June 08, 2011
Rating:



1 comment:
A nice case, thanks for sharing Yogi Gulati
Post a Comment