Resident's Miss RLL Collapse-Exam Case
For all the residents joining us here is a CXR allotted to you as an exam case. This is a 66 year old patient with history of smoking.
CXR View
Answer
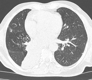
Evidence of complete collapse of the right lower lobe evidence in scout film as well as axial sections with no obvious air bronchogram. There is abrupt cut off of the left lower lobe bronchus. There are acinonodular shows in the perihilar region and right middle lobe along with interlobular septal thickening. These findings particularly in view of age and bronchial cutoff are suspicious for mitotic etiology. Bronchoscopic and histopathological correlation are suggested.
Resident's Miss RLL Collapse-Exam Case
Reviewed by Sumer Sethi
on
Friday, August 30, 2013
Rating:
Reviewed by Sumer Sethi
on
Friday, August 30, 2013
Rating:



No comments:
Post a Comment