Anterolateral Ankle Impingement-MRI
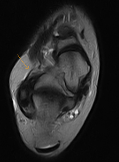
This is 24 year old soccer player with chronic ankle pain. Evidence of soft tissue hypertrophy and thickening/scarring in the anterolateral gutter of the ankle possibly indicating anterolateral impingement likely secondary to inversion injury. This appears separate from an intact anterior talofibular ligament.
Anterolateral impingement of the ankle is uncommon cause of chronic lateral ankle pain produced by entrapment of abnormal soft tissue in the anterolateral gutter of the ankle. Anterolateral impingement occurs subsequent to minor inversion injuries of the ankle. Repeated microtrauma results in hypertrophied synovial tissue and fibrosis in the anterolateral gutter of the ankle causing pain and mechanical impingement.
Anterolateral Ankle Impingement-MRI
Reviewed by Sumer Sethi
on
Monday, August 26, 2013
Rating:
Reviewed by Sumer Sethi
on
Monday, August 26, 2013
Rating:




No comments:
Post a Comment