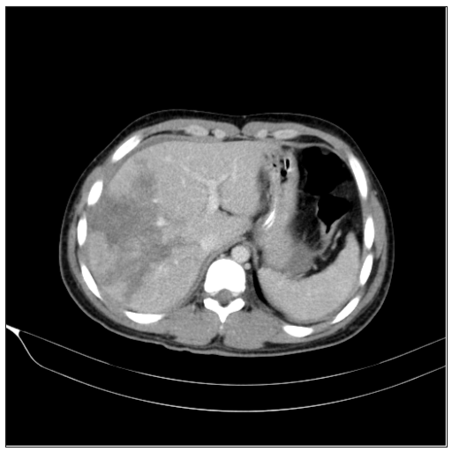
Hepatic Laceration/Contusion -CT
Hepatic Laceration/Contusion -CT
Reviewed by Sumer Sethi
on
Friday, April 02, 2021
Rating:
Reviewed by Sumer Sethi
on
Friday, April 02, 2021
Rating:


No comments:
Post a Comment