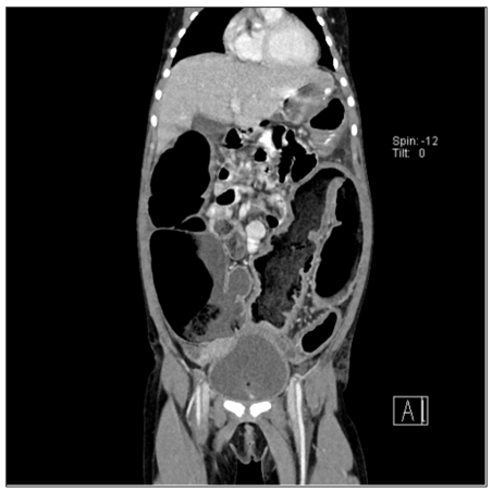
Congenital Megacolon- CT
This young girl presented with abdominal pain and constipation. Gross dilatation of the colonic loop and loops appear loaded with fecal matter. At the distal rectum there appears to be a transition between the dilated fecal matter loaded colon and empty anorectal region, which suggests a diagnosis of congenital megacolon. Hirschsprung’s Disease also known as congenital aganglionic megacolon, is an anomaly characterized by an absence of ganglion cells in the myenteric and submucosal plexuses in a variable length of bowel segment. CT finding of highly dilated proximal segments filled with feces and cone- or funnel-shaped transition segments proximal to a distal narrow segment is suggestive of the diagnosis.
Reviewed by Sumer Sethi
on
Friday, April 02, 2021
Rating:



No comments:
Post a Comment