Oxycephaly-CT
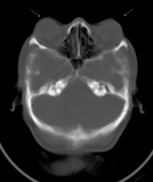
Skull shape is abnormal, non-visualized parieto-occipital and coronal sutures. Sagittal suture is partially seen. There is evidence of exopthalmos because of shallow orbits. Skull shows lacunar defects/ Lueckenschaedel -appearance. Middle cranial fossa is pushed downwaord and forward. Findings are consistent with craniosynostosis (oxycephaly possible) .
Update:
Lacunar skull appearance; Also known as: craniolacunia, mesenchymal dysplasia, may appear normal after several yrs associated with: Chiari malformation (almost always !), In contrast, increased intracranial pressure has: beaten-silver appearance, closed sutures, with or without abnormal skull size (Lueckenschaedel) So lacunar skull is synonym to “ Lueckenschaedel "
By Dr. A. M. Altamimi
Consultant Radiologist
Canadian Specialist Hospital
Dubai, United Arab Emirates
Oxycephaly-CT
Reviewed by Sumer Sethi
on
Monday, July 09, 2012
Rating:
Reviewed by Sumer Sethi
on
Monday, July 09, 2012
Rating:




No comments:
Post a Comment