Appendicitis-CT
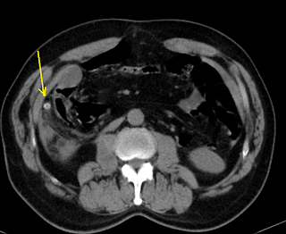
Specific CT scan findings of appendicitis include enlargement of the appendix ( more than 6 mm in the outer diameter), enhancement of the appendiceal wall, lack of opacification in an enlarged appendix, fat stranding in the periappendiceal region, and the presence of an appendicolith within the appendix.
Reported by Teleradiology Providers
Appendicitis-CT
Reviewed by Sumer Sethi
on
Monday, June 07, 2010
Rating:
Reviewed by Sumer Sethi
on
Monday, June 07, 2010
Rating:


No comments:
Post a Comment