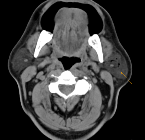
Pneumoparotid-CT
Pneumoparotid refers to air within the parotid gland without any demonstrable inflammation or infection. This is caused by reflux of intra-oral air into the parotid gland through Stenson’s duct. It is associated with any process that significantly increases intra-oral pressure. Intra-oral pressure must increase enough to overcome the small, slit like orifice of Stensen’s duct with surrounding redundant mucosal folds that normally prevent reflux of salvia and air into the duct and the parotid gland.
Pneumoparotid-CT
Reviewed by Sumer Sethi
on
Monday, February 24, 2014
Rating:
Reviewed by Sumer Sethi
on
Monday, February 24, 2014
Rating:


1 comment:
Very often seen during puff cheek maneuver.
Post a Comment