Nontraumatic Skull Base Defect with CSF Rhinorrhea
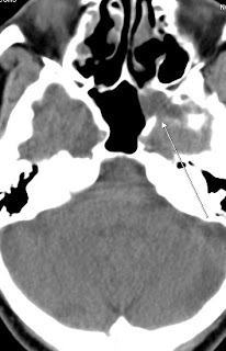
The sphenoid sinus is a frequent site of spontaneous osteodural defects. Originally described by Cruveilhier in 1877 and Sternberg the lateral craniopharyngeal canal corresponds to a fusion line of the basisphenoid with the greater sphenoid wing. Probably more relevant are aberrant arachnoid granulations, which have penetrated the dura but failed to reach a venous sinus in this location. Accordingly, a smooth lobulated appearance of the defects has been described from an anatomic standpoin as well as by CT and has been designated as "arachnoid pits." The concept of arachnoid granulations as precursors of osteodural defects seems to hold true for the lateral wall of the sphenoid sinus.
Nontraumatic Skull Base Defect with CSF Rhinorrhea
Reviewed by Sumer Sethi
on
Wednesday, May 12, 2010
Rating:
Reviewed by Sumer Sethi
on
Wednesday, May 12, 2010
Rating:





No comments:
Post a Comment